1Department of Pathology & Immunology,
2Molecular and Human Genetics,
3Department of Urology,
4Baylor College of Medicine, and Michael E. DeBakey Veterans Affairs Medical Center, Houston, Texas.
Lynch syndrome (LS) is an autosomal dominant inherited disorder due to pathogenic variations in the mismatch repair genes, which predisposes to malignancies, most commonly colon and endometrial carcinoma. Muir-Torre syndrome is a subset of LS with cutaneous sebaceous adenoma and keratoacanthoma in addition to the malignancies. Renal cell carcinoma (RCC) in patients with LS is extremely rare. Only 26 cases have been reported and among them, only two cases of papillary RCC. We report a case of synchronous papillary RCC and colonic adenocarcinoma in an 85-year-old male with Lynch/Muir-Torre syndrome. The LS was diagnosed when he presented with multiple sebaceous adenomas and genetic testing showed a pathogenic variant in MSH6 mismatch repair gene. A colonoscopy at that time showed multiple tubular adenomas with high-grade dysplasia. He was lost to follow-up and presented with gastrointestinal bleeding after 20 years. A right colonic mass, and a solid mass in the lower pole of the right kidney, was detected by imaging. Right Colectomy showed a T3N0 mucin-producing adenocarcinoma. Right nephrectomy showed a T3a papillary RCC which was microsatellite stable with MSH6, and KRAS mutation. The 36-month follow-up exams showed additional sebaceous neoplasms, and an absence of metastatic carcinoma. Analysis of the reported cases of RCC in LS show clear cell RCC as the most common type. These tumors showed MLH1 mutation most commonly, unlike the urothelial malignancies in LS which involve MSH2. Among the 4 cases of RCC with MSH6 mutation, three were in females, indicating some gender differences.
Key words: colon adenocarcinoma, Lynch syndrome, MSH6 mutation, Muir-Torre syndrome, Papillary renal cell carcinoma
Received: February 19, 2021; Accepted after Revision: March 31, 2021; Published: April 21, 2021
Author for correspondence: Bhuvaneswari Krishnan, M.D., Professor of Pathology & Immunology, Baylor College of Medicine, Houston, Texas 77030. Email: [email protected]
How to cite: Yang Y et al. Papillary Renal Cell Carcinoma in Lynch/Muir-Torre Syndrome with Germline Pathogenic Variant in MSH6 and Molecular Analysis: Report of a Case and Review of the Literature. J Kidney Cancer VHL. 2021; 8(2): 8–19
Doi: http://dx.doi.org/10.15586/jkcvhl.v8i2.175
Copyright: Yang Y et al.
License: This open access article is licensed under Creative Commons Attribution 4.0 International (CC BY 4.0). http://creativecommons.org/licenses/by/4.0
Lynch syndrome (LS), an autosomal dominant inherited disorder, is the most common cause of hereditary colorectal carcinoma. It is associated with germline pathogenic variants in the DNA mismatch repair (MMR) genes including MLH1 (mutL homolog 1), MSH2/MSH6 (mutS homolog 2 or 6), and PMS2 (PMS1 homologue 2). Rarely, it can also be caused by a deletion in the EPCAM (epithelial cell adhesion molecule) gene, which leads to epigenetic silencing of MSH2. Colorectal and endometrial cancers are the predominant malignancies associated with LS (1, 2). Other malignancies associated with LS include cancers of the stomach, small intestine, breast, ovary, upper urinary tract, bladder, hepatobiliary tract, and brain. The routine screening for genetic colorectal adenocarcinoma by immunohistochemistry (IHC) and/or Microsatellite instability (MSI) testing has led to better detection and an increased understanding of LS. LS accounts for about 3% of newly diagnosed colorectal carcinoma (1) and 3% of newly diagnosed endometrial carcinoma (2). Most commonly, the germline defect involves pathogenic variants in MLH1 or MSH2 genes.
A subset of patients with LS develops visceral malignancies associated with cutaneous sebaceous adenomas and keratoacanthoma, which is known as Muir-Torre syndrome (MTS). Although LS and MTS share a defect in one of the 4 MMR genes, a few studies have shown that the frequency of the MMR defect in patients with MTS mostly involves MSH2 (3). About 5% of the upper urinary tract urothelial carcinomas are associated with LS (4). Recent studies have shown increased frequency of pathogenic variants in MSH2 in urological malignancies (5, 6).
Cases of renal cell carcinoma (RCC) in LS have been rarely described. An extensive PubMed search revealed 26 cases of possible RCC in LS patients (7–11). Here, we encountered a case of papillary RCC (PRCC) in a LS/MTS patient with germline MSH6 pathogenic variant. These findings serve to expand the spectrum of urological malignancies in LS and emphasize the need to screen for synchronous and/or metachronous neoplasms in this patient population.
This 85-year-old white male initially presented at the age of 62 years with multiple cutaneous nodules in the head and neck region, diagnosed as multiple sebaceous adenomas. This prompted an investigation for visceral malignancies and genetic testing. Colonoscopy showed multiple tubular adenomas in the descending and sigmoid colon and high-grade dysplasia in the transverse colon. Genetic testing showed a pathogenic variant in MSH6 Exon 9 (c.3980_3983, dupATCA (p.L1330Vfs’12)). In addition a heterozygous novel variant of uncertain significance (c.8419A>G(p.T2807A) in the APC gene was also detected. Since he did not have the typical presentation of polyposis and lack of certainty regarding pathogenicity of the APC variant as well as presence of pathogenic variant in the MSH6 gene, a diagnosis of LS was made. Subsequently, multiple sebaceous adenomas were removed. At the age of 82 years, he presented with rectal bleeding and anemia. Abdominal computerized tomography scan showed a 6.8 × 6.6 × 8 cm mass in the right colon, and a 2.5 × 3.4 × 3.3 cm solid mass on the lower pole of the right kidney involving the hilum (Figure 1A), multiple hypodense nonenhancing lesions involving both lobes of the liver, and a 2.5 × 2.8 cm hypodense lesion in the body of the pancreas. The subsequent subtotal colectomy showed a T3N0 mucin-producing adenocarcinoma in the cecum. The wedge biopsy of the liver lesion at the same time showed a sclerosed hemangioma. The renal mass biopsy showed a PRCC. Three months later, a right nephrectomy was performed. Clinical follow-up 3 years after the resection shows multiple additional sebaceous adenomas involving the head and neck area and sebaceous carcinoma involving the eyelid. The pancreatic lesion is stable, and a biopsy was not performed. The timeline of the various tumors in this patient is shown in Table 1. There is no evidence of metastatic colon or RCC.
Figure 1: The Computerized Tomography (A) and the gross photograph (B) of the renal mass showing a well circumscribed tan brown mass in the right kidney extending into the renal hilum.
Table 1: List of neoplasms in this patient.
| Year | Tumor site | Tumor type |
|---|---|---|
| 1998 | Scalp, temple, nose Transverse colon |
Sebaceous adenoma, skin squamous carcinoma Tubular adenoma with high-grade dysplasia and multiple tubular adenoma |
| 2007 | Chest | Sebaceous adenoma |
| 2010 | Nose | Sebaceous adenoma and squamous carcinoma |
| 2014 | Neck | Sebaceous adenoma |
| 2015 | Cheek | Sebaceous adenoma |
| 2016 | Scalp | Sebaceous adenoma |
| 2017 | Cecum and right colon Kidney |
Adenocarcinoma of cecum and tubulovillous adenoma with high-grade dysplasia of right colon Papillary renal cell carcinoma |
| 2018 | Scalp, cheek, philtrum | Sebaceous adenoma |
| 2019 | Shoulder Lower tarsal conjunctiva |
Sebaceous adenoma Sebaceous carcinoma |
| 2020 | Right shoulder | Sebaceous adenoma |
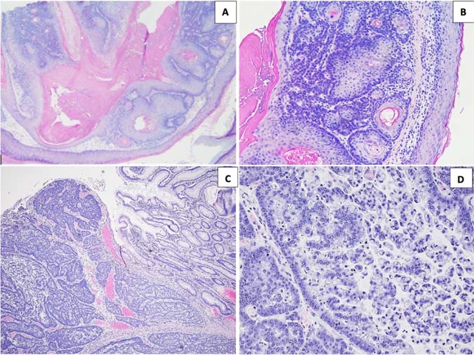
The multiple sebaceous adenomas histologically showed dermal tumors with varying proportions of basaloid cells and sebaceous cells with cystic changes (Figure 2A and B). The pathologic evaluation of the colonic tumor showed a 7.5 × 7.2 × 4.3 cm fungating mass within the cecum. Histologically, the tumor was a high-grade adenocarcinoma with mucin production and invading the subserosal adipose tissue. Tumor infiltrating lymphocytes or germinal centers were not seen (Figure 2C and D). Strong nuclear expression of MLH1, PMS2, and MLH2 mismatch repair proteins was seen in the adenocarcinoma by IHC. Faint MSH6 was expressed in about 3% of the nuclei. The tumor was staged as T3N0.
Figure 2: (A) Sebaceous adenoma in the dermis with cystic dilatation (Hematoxylin and Eosin ×40). (B) Proliferation of germinative cells in the sebaceous adenoma (Hematoxylin and Eosin ×200). (C) Low magnification view of the colonic adenocarcinoma with normal colon on the right and the adenocarcinoma with mostly solid architecture (Hematoxylin and Eosin ×40). (D) Poorly differentiated adenocarcinoma of colon with pleomorphic tumor cells and poorly formed glands with some extracellular and intracellular mucin (Hematoxylin and Eosin ×200).
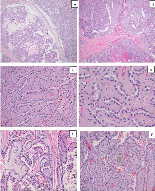
The pathological evaluation of the kidney showed a 3.4 × 3.3 × 3.0 cm well-circumscribed solid brown mass in the lower pole, extending into the hilum and perinephric fat (Figure 1B). Histologically, the tumor showed a mass without a capsule blending with the uninvolved renal parenchyma. Dense sclerotic stroma was present between clusters of tumor cells. The neoplasm showed a 90% papillary architecture with thin fibrovascular core, and occasional foamy histiocytes. The papillae were lined by a single layer of columnar cells with an abundant eosinophilic granular cytoplasm. The nucleus was low grade, round, and uniform with fine chromatin, placed away from the basal lamina without pseudostratification. The nuclear features were classified as ISUP grade 2. Focal areas of hemorrhage and cytoplasmic hemosiderin pigment in the tumor cells were present. Psammomatous calcification was absent (Figure 3A–F). IHC showed focal patchy positivity for AE1/AE3 and diffuse membranous staining for epithelial membrane antigen (EMA). There was a strong, diffuse cytoplasmic expression of vimentin, AMACR, luminal membranous expression of CD10, and nuclear expression of PAX8 (Figure 4A–F). The CAIX stain showed focal positivity. Cytokeratin 7 (CK7), high molecular weight cytokeratin, GATA3, and CD117 stains were negative in the tumor cells. These immunohistochemical features were most consistent with PRCC, type 2. IHC for mismatch repair proteins showed faint expression of MSH6 (1% of nuclei) and strong nuclear expression of MLH1, MSH2, and PMS2 (Figure 5A–D). The tumor was staged as T3a with sinus and perinephric fat invasion. Vascular invasion was not seen.
Figure 3: Hematoxylin- and eosin-stained sections of the renal tumor (A). Low magnification showing a well-circumscribed tumor with papillary structures and normal kidney on the right (×40) (B). Well-circumscribed papillary tumor with fibrous septa separating the tumor (×40) (C). Papillary architecture of the tumor with thin fibrovascular core (×100) (D). The tumor cells have abundant granular eosinophilic cytoplasm and a round nucleus placed away from the basal lamina (×400) (E). Papillary tumor with foamy histiocytes (×200) and F. Papillary tumor with hemosiderin pigment (×200) (F).
Figure 4: Immunohistochemical stains showing (A) Focal staining for AE1/AE3. (B) Membranous staining for epithelial membrane antigen (EMA). (C) Diffuse cytoplasmic staining for AMACR. (D) Diffuse nuclear staining for PAX8. (E) Focal staining for CAIX. (F) Diffuse strong luminal membranous staining for CD10.
Figure 5: Immunohistochemical stain for mismatch repair proteins showing loss of expression of MSH6 and preserved nuclear expression of MLH1, PMS2, and MSH2.
The Foundation Medicine next-generation sequencing (NGS) analysis of the renal tumor was performed. The genomic abnormalities included ARID1A S90fs*11, MSH6 L1330fs*12, SETD2 N1725fs*3, and STAG2 E143fs*3. In addition, variants of unknown significance (VUS) were detected in the tumor. These included APC, EGFR, FANCC, FGF14, KDM6A, KRAS, MLL2, and REL. The renal tumor was microsatellite stable.
There has been an increasing understanding of LS attributed to pathogenic variants in one of the four mismatch repair (MMR) genes, namely, MLH1, MSH2, MSH6, and PMS2. Pathogenic variants in the MMR genes lead to abnormal microsatellite sequences referred to as MSI. The National Cancer Institute recommends five markers as the screening tool for MSI. These include three dinucleotide repeats (D2S123, D5S346, and D17S250) and two mononucleotide repeats (BAT25, BAT26). Identification of three of the five markers is considered positive for MSI (3). The MSI predisposes to the development of multiple malignancies. The malignancies associated with LS commonly include colorectal carcinoma and endometrial cancer. Other malignant sites include breast, ovary, stomach, small bowel, urinary tract, hepatobiliary tract, and brain. A subset of LS patients also presents with cutaneous sebaceous adenomas and keratoacanthoma, called the MTS. Analysis of LS patients with cancer has shown that the germline variants involve MLH1 and MSH2 genes in 60–80% of the cases. Only a minority of cases involves MSH6 and PMS2 (12). On the other hand, germline variant analysis in patients with MTS showed the involvement of MSH2 in 89% of the cases and MLH1 in 11% of the cases (3). Similarly, germline variant analysis in urothelial carcinoma patients with LS has shown frequent involvement of MSH2 and MSH6 (5, 6). These studies indicate that the clinical spectrum of malignancies depends upon which gene is involved in the pathogenesis. The increasing understanding of the clinical manifestations can lead to appropriate screening and prevention strategies.
RCC is uncommonly reported in LS. Extensive literature search revealed 26 other cases of possible RCC in LS patients (7–11). The details of these cases are shown in Table 2. There were nine clear cell RCC and three cases of PRCC including the current case. Histological subclassification is not available in 15 cases. Clear cell RCC appears to be the most common tumor type in LS. The age at presentation ranged from 47 to 82 years among men and 57–67 years among women. The incidence of these tumors in female patients is much higher than the sporadic tumors with a male to female ratio of 1:1 compared to 2:1 in the general population. Unlike the upper tract urothelial carcinoma, which are more commonly associated with MSH2 variants, RCC was associated with MLH1 variants, which was seen in 16 cases (57.1%). Variants in MSH2 were seen in 7 cases (25%) and in MSH6 in 4 cases (14.8%). Interestingly, three out of four patients with the MSH6 variants were females. In the study by Therkildsen et al., the incidence of RCC was higher in the Danish patients with LS compared to the general population (10). This was not seen in the study from Finland (7).
Table 2: Reported cases of renal cell carcinoma in Lynch syndrome.
| Case | Age/Sex | Mutation type | Renal cell carcinoma | Stage/grade | Other tumors | Ref |
|---|---|---|---|---|---|---|
| 1 | 77/NP | MLH1, ex 16 | RCC, subtype NP | T1,N0,G2 | NP | (7) |
| 2 | 55/NP | MLH1, ex 16 | RCC, subtype NP | T2,N0,G2 | NP | (7) |
| 3 | 56/NP | MLH1, ex 16 | RCC, subtype NP | T3,N0,G2 | NP | (7) |
| 4 | 88/NP | MLH1, ex 16 | Not resected | NP | (7) | |
| 5 | 62/NP | MLH1, ex 16 | RCC, subtype NP | T1,N0,G2 | NP | (7) |
| 6 | 62/NP | MLH1, ex 16 | RCC, subtype NP | T3,N1,G2 | NP | (7) |
| 7 | 65/NP | MLH1, ex 3 | RCC, subtype NP | T1,N0,G2 | NP | (7) |
| 8 | 64/NP | MLH1, ex 6 | RCC, subtype NP | T1,N0,G1 | NP | (7) |
| 9 | 60/NP | MLH1, ex 16 | RCC, subtype NP | T1,N0,G3 | NP | (7) |
| 10 | 47/NP | MLH1, ex 6 | RCC, subtype NP | T3,N0,G2 | NP | (7) |
| 11 | 65/F | MSH6 (NP) | Clear cell (No MTS) | NP | NP | (8) |
| 12 | 60/F | MSH6(3311delTT) | Clear cell | T1b,Nx,G2 | Colon and endometrium | (9) |
| 13 | 67/F | MSH2 c.1750+ST>A | Clear cell | T1b | Colon | (10) |
| 14 | 61/M | MSH2 c.368delC | Clear cell | T2 | Colon | (10) |
| 15 | 50/M | MSH2 c.368delC | Clear cell | T2 | None | (10) |
| 16 | 61/M | MSH2 c.1176C>T | Papillary | T1a | Colon, ureter, and renal pelvis | (10) |
| 17 | 66/F | MLH1 c.1852_1854delAAG | Clear cell | T3a | None | (10) |
| 18 | 47/M | MLH1 c.1667+2delTCAinsATTT | Clear cell | T1a | None | (10) |
| 19 | 61/M | MLH1 c.1667+2delTCAinsATTT | Clear cell | T2 | Gastric | (10) |
| 20 | 62/F | MSH6 c.1444C>T | Clear cell | T3a | Ovarian | (10) |
| 21 | 82/M | MLH1 c.1732-2A>T | NP | NP | Skin, colon, and small bowel | (10) |
| 22 | 58/M | MLH1 c.1852_1854delAAG | NP | NP | Colon | (10) |
| 23 | 59/F | MLH1 c.1667+2delTCAinsATTT | NP | T3a | Endometrium | (10) |
| 24 | 82/M | MSH2 c.942+3A>T | NP | NP | Colon | (10) |
| 25 | 57/F | MSH2 c.892C>T | NP | NP | None | (10) |
| 26 | 61/F | MSH2, but no loss of expression of MMR protein in papillary RCC | Papillary, type 2 | T1a | Ureter, colon, and endocervix | (11) |
| 27 | 85/M | MSH6 Exon 9 (C3980-3983, dup ATCA) | Papillary | T3a | Colon, sebaceous adenoma, and sebaceous carcinoma | This case |
NP: Not provided
The MSH6 gene is located in the short arm of chromosome 2, close to MSH2. Abnormalities in the MSH6 gene were first discovered in studies involving hereditary nonpolyposis colorectal cancers, from 5 Japanese families who did not fulfill the Amsterdam criteria and had no pathogenic variants in MLH1 and MSH2 but had a family history of endometrial and ovarian cancers. Population-based studies indicate higher pathogenic allele frequency rate for MSH6 and PMS2, but with variable penetrance (13). MSH6 is not involved in the repair of dinucleotide repeats and only the mononucleotide repeats are involved. When a pathogenic variant in the MSH6 gene is suspected, a panel of five mononucleotides (NR21, BAT25, BAT26, NR24, and NR22) is recommended to assess the MSI status (3). There have been relatively few publications of isolated MSH6 variants. A large study of 113 families with MSH6 variant carriers from multiple countries has shown some differences in presentations and in malignancies associated with MSH6. The presentation of malignancies is at a much later age extending to 70 and 80 years as seen in our patient who presented with the adenocarcinoma at the age of 82 years. These studies suggest long-term screening requirement for patients with the MSH6 pathogenic variant (13, 14). Endometrial carcinoma is the most common presentation among women with pathogenic variants in this gene, and the women have a sixfold increased incidence of other cancers associated with LS including ovary, stomach, kidney, ureter, or brain (14). By the age of 70 years, 24% of men and 40% of women will be diagnosed with LS-associated malignancy and the incidence increases to 47 and 65% by the age of 80 years in men and women, respectively. The reported studies also show occurrence of other malignancies such as lymphoma, leukemia, Langerhan’s cell histiocytosis, and testicular germ cell tumors with MSH6 variants (3, 15). These studies suggest a different set of malignancies must be considered in the screening of patients with MSH6 pathogenic variant.
There were six cases of kidney tumors in the study of pure MSH6 variants by Baglietto et al. (14), but the type of tumor, whether urothelial carcinoma or RCC, was not specified. The age of presentation of renal tumors ranged from 39 to 75 years, indicating earlier presentation than the sporadic tumors in some patients. It is also interesting to note that four of the six renal tumors in this report were among women. Similarly, in our review, there were four RCCs associated with MSH6 variants including the current case. There were three cases of clear cell RCC, all in females, none of whom had MTS (8–10). This current report is the only case of PRCC in a male with MTS and a pathogenic variant in MSH6. This indicates that PRCC in these patients is extremely uncommon. It is also possible that other sporadic tumors may arise in these patients that are not generally seen in LS. However, the loss of expression of the MSH6 protein by IHC and the MSH6 variant in this papillary tumor as confirmed by the tumor NGS analysis, confirms this to be definitively associated with MSH6.
There have been only three reports of PRCC in LS including the current case. The two reported cases of PRCC were associated with urothelial carcinoma of the ureter and/or renal pelvis. In one case with LS due to the MSH2 variant, loss of the MSH2 expression and MSI were present in the colon, ureter, and cervical adenocarcinoma, but the PRCC of the kidney was microsatellite stable and did not show any loss of the MMR proteins. Histologically this tumor was described as type 2 PRCC that was confined to the kidney, but a photograph of the tumor or the background uninvolved kidney was not available (11). In the second case of papillary carcinoma, the histomorphology of the tumor was not described or photographed. It is possible that this papillary carcinoma was arising in the background of an atrophic/inflamed kidney since both these cases had associated urothelial carcinoma of the ureter/renal pelvis (10, 11). The PRCC in the current case was in a normal functioning kidney without an urothelial carcinoma. Our case is the first report of PRCC associated with pathogenic variants in MSH6 in LS/MTS. The MSH6 abnormality (L1330fs*12) was also seen in the papillary carcinoma. Other abnormalities included ARID1A S90fs*11, SETD2 N1725fs*3, and STAG2 E143fs*3. In addition, VUS were detected in the tumor in genes such as APC, EGFR, FANCC, FGF14, KDM6A, KRAS, MLL2, and REL.
Unlike the RCC with clear cytoplasm, the papillary renal tumors have been difficult to classify based on light microscopic and immunohistochemical features. In the 2016 WHO classification of renal tumors, the PRCC was subclassified into types 1 and 2 as previously reported by Delahunt et al. The type 1 PRCC is a well-defined entity showing papillary tumor lined by low cuboidal cells with basophilic or amphophilic cytoplasm. The type 2 PRCC shows pseudostratified epithelial cells with abundant eosinophilic cytoplasm and high-grade nuclei with prominent nucleoli. In the WHO classification, it was also acknowledged that the type 2 PRCC is a heterogeneous group of tumors. The type 2 PRCC must be differentiated from other RCCs with papillary architecture. These include hereditary leiomyomatosis and RCC (HLRCC), collecting duct carcinoma, renal medullary carcinoma, and MiT family translocation carcinoma. HLRCC typically shows a PRCC with prominent nucleolus and a perinucleolar halo. These tumors show loss of Fumarate hydratase and overexpression of 2SC by IHC. The collecting duct carcinoma shows an infiltrating tumor in a desmoplastic stroma. The expression of OCT3/4, SMARCB1, and p63 differentiates it from type 2 PRCC. The renal medullary carcinoma is associated with a clinical history of sickle cell trait and shows loss of SMARCB1 by IHC. The MiT family translocation carcinomas include tumors with gene fusions involving the TFE3 or TFEB locus. The diagnosis is made by TFE3 or TFEB break apart fluorescent in situ hybridization (FISH) assay, which is more sensitive than the immunohistochemical stains for TFE3 and TFEB.
The oncocytic PRCC was described by many authors (16–19), and it was not included in the WHO classification, needing further characterization. It has been acknowledged by many authors (20, 21) that often PRCC shows features of both types 1 and 2 with significant interobserver variability making the subclassification more difficult. The comprehensive study by Saleeb et al. (21) subtyped the PRCC into four types PRCC1–PRCC4 based on histologic, immunohistochemical, and molecular findings. The PRCC1 and PRCC2 corresponded with the WHO type 1 and 2, respectively. The PRCC3 had features of both types 1 and 2, while PRCC4 had features of oncocytic PRCC. This same study also demonstrated that the PRCC4 or oncocytic PRCC is positive for GATA3 by IHC. Al-Obeidy et al. (22), while reviewing the oncocytic PRCC, discovered a distinct subtype of papillary renal tumors with papillary or tubular architecture lined by a single layer of cuboidal cells with eosinophilic granular cytoplasm, with apically located round nucleus away from the basal lamina without pseudostratification, which was called a papillary renal neoplasm with reverse polarity. These tumors showed a male to female ratio of 1:1, ISUP grade 1–2 tumors without metastasis after a follow-up of 20 months. Unlike types 1 and 2 PRCC, these tumors were positive for GATA3 and negative for vimentin. The next-generation sequencing of 10 of these tumors performed by the same group showed KRAS missense variants in eight tumors. This variation was absent in 30 types 1 and 2 PRCC that were studied (23). One case of GATA3-positive papillary renal neoplasm with reverse polarity with KRAS and PIK3CA mutation is also described by Lee et al. (24). Similarly, KRAS mutations were also observed by Kim and Tong et al. (25, 26) who have described KRAS mutations in papillary renal neoplasm with reverse polarity, but GATA3 immunohistochemical stain was not performed in these two studies. In the study by Bayrak et al. (27) KRAS mutation was not detected in the CCRCC, Chromophobe RCC, and PRCC. The subtype of PRCC examined was not described. These studies indicate that the KRAS mutation is seen in oncocytic papillary neoplasms.
The PRCC in this study did not particularly fit into a specific type of PRCC. It showed some light microscopic features of papillary renal neoplasm with reverse polarity, including a papillary architecture with oncocytic cells showing apically placed low-grade nuclei without pseudostratification. Interestingly, a KRAS variant was detected in this tumor as in papillary tumors with reverse polarity. Follow-up evaluations 36 months after the nephrectomy show the absence of metastatic disease. This tumor differed from papillary renal neoplasm with reverse polarity by the presence of rare collections of histiocytes in the papillary fibrovascular cores. Immunohistochemically, strong expression of vimentin and absence of GATA3 and only focal staining for cytokeratin AE1/AE3 was also not compatible with papillary renal tumor with reverse polarity. The immunohistochemical features were that of type 2 PRCC. The presence of KRAS mutation in this tumor suggests that this mutation may not be restricted to the papillary renal neoplasm with reverse polarity and this entity should be better defined with the study of large number of cases.
It is well-known that LS patients may have multiple synchronous or metachronous malignancies (28). In our case, mucin-producing colonic adenocarcinoma was synchronous with PRCC. Interestingly, it has been reported that patients with both colorectal and RCC diagnoses have an increased risk for additional malignancies, regardless of whether the patient has a hereditary cancer syndrome or not (29). Because of the rarity of this entity, the pathologic behavior is yet to be determined. But, it emphasizes the importance of careful follow-up in such a patient population.
Few unusual and uncommon tumors have also been reported in LS, including adrenocortical carcinoma, peritoneal mesothelioma (30, 31), pancreatic acinar carcinoma, pancreatic neuroendocrine carcinoma (30), low-grade serous carcinoma, leiomyosarcoma, liposarcoma, malignant fibrous histiocytoma, anaplastic thyroid carcinoma, melanoma, breast carcinoma, and prostatic adenocarcinoma (31, 32). Whether all these tumors like the renal tumors in this study are truly related to LS or are coincidental tumors in a background of MSI needs to be determined. The study of the molecular profiles of different LS-associated tumors by Gylling et al. (33) showed that LS-associated tumors developed by various routes. The level of MSI was variable in the different LS-associated tumors, with high MSI in ureter, stomach, and colonic carcinomas and much lower in renal and brain tumors. Similarly, the papillary tumor in this case was microsatellite stable. Further studies are necessary for a better understanding of the development of these uncommon tumors.
We describe the first case of PRCC in a patient with Lynch/MTS with the MSH6 pathogenic variant. The PRCC showed oncocytic cytoplasm with reverse nuclear polarity, and loss of MSH6 by IHC and NGS. There was also KRAS mutation, but the tumor was microsatellite stable. This tumor had some features of the recently described papillary renal neoplasm with reverse polarity, including the KRAS mutation, but it was immunohistochemically like type 2 PRCC, suggesting that the KRAS mutation is not unique to papillary renal neoplasm with reverse polarity. Including the current case, 27 cases of RCC have been reported in association with LS.
1. Moreira L, Balaguer F, Lindor N, Chapelle ADL, Hampel H, Aaltonen LA, et al. Identification of Lynch syndrome among patients with colorectal cancer. JAMA. 2012;308(15):1555–65. 10.1001/jama.2012.13088
2. Lancaster JM, Powell CB, Chen L, Richardson DL. Society of gynecologic oncology statement on risk assessment for inherited gynecologic cancer predispositions. Gynecol Oncol. 2015;136(1):3–7. 10.1016/j.ygyno.2014.09.009
3. Mahalingam M. MSH6, past and present and Muir-Torre syndrome-connecting the dots. Am J Dermpathol. 2017;39(4):239–49. 10.1097/DAD.0000000000000633
4. Metcalfe MJ, Petros FG, Rao P, Mork ME, Xiao L, Broaddus RR, et al. Universal point of care testing for Lynch syndrome in patients with upper tract urothelial carcinoma. J Urol. 2018;199(1):60–5. 10.1016/j.juro.2017.08.002
5. Joost P, Therkildsen C, Dominguez-Valentin M, Jonsson M, Nilbert M. Urinary tract cancer in Lynch syndrome; increased risk in carriers of MSH2 mutations. Urology. 2015;86(6):1212–17. 10.1016/j.urology.2015.08.018
6. Harper HL, McKenney JK, Heald B, Stephenson A, Campbell SC, Plesec T, et al. Upper tract urothelial carcinomas: Frequency of association with mismatch repair protein loss and Lynch syndrome. Mod Pathol. 2017;30(1):146–56. 10.1038/modpathol.2016.171
7. Aarnio M, Saily M, Juhola M, Gylling A, Peltomaki P, Jarvinen HJ, et al. Uroepithelial and kidney carcinoma in Lynch syndrome. Fam Cancer. 2012;11(3):395–401. 10.1007/s10689-012-9526-6
8. Stratton KL, Alanee S, Glogowski EA, Schrader KA, Rau-Murthy R, Klein R, et al. Outcome of genetic evaluation of patients with kidney cancer referred for suspected hereditary cancer syndromes. Urol Oncol. 2016;34(5):238.e1–e7. 10.1016/j.urolonc.2015.11.021
9. Mendez LE, Atlass J. Triple synchronous primary malignancies of the colon of the colon, endometrium and kidney in a patient with Lynch syndrome treated vis minimally invasive techniques. Gynecol Oncol Rep. 2016;17:29–32. 10.1016/j.gore.2016.05.007
10. Therkildsen C, Joost P, Lindberg LJ, Ladelund S, Smith-Hansen L, Nilbert M. Renal cell cancer linked to Lynch syndrome: Increased incidence and loss of mismatch repair protein expression. Int J Urol. 2016;23(6):528–29. 10.1111/iju.13094
11. Mongiat-Artus P, Miquel C, Flejou JF, Coulet F, Verine J, Buhard O, et al. Spectrum of molecular alterations in colorectal, upper urinary tract, endocervical and renal carcinomas arising in a patient with hereditary non-polyposis colorectal cancer. Virchows Arch. 2006;449(2):238–43. 10.1007/s00428-006-0182-9
12. Boland PM, Yurgelun MB, Boland R. Recent progress in Lynch syndrome and other familial colorectal cancer syndromes. CA: Cancer J Clin. 2018;68(3):217–31. 10.3322/caac.21448
13. Sinicrope FA. Lynch syndrome-associated colorectal cancer. N Eng J Med. 2018;379(8):764–73. 10.1056/NEJMcp1714533
14. Baglietto L, Lindor NM, Dowty JG, White DM, Wagner A, Gomez Garcia EB, et al. Risks of Lynch syndrome cancers for MSH6 mutation carriers. J Natl Cancer Inst. 2010;102(3):193–201. 10.1093/jnci/djp473
15. Tavakkol Z, Keller JJ, Furmanczyk PS, Bennett RL, Chien AJ. Germline mutation is MSH6 associated with multiple malignant neoplasms in a patient with Muir-Torre syndrome. J Clin Oncol. 2012;30(22):e195–8. 10.1200/JCO.2011.41.5562
16. Allory Y, Ouazana D, Boucher E, Thiounn N, Vieillefond A. Papillary renal cell carcinoma. Prognostic value of morphological subtypes in a clinicopathologic study of 43 cases. Virchows Arch. 2003;442(4):336–42. 10.1007/s00428-003-0787-1
17. Lefavre M, Couturier J, Sibony M, Bazille C, Boyer K, Callard P, et al. Adult papillary renal tumor with oncocytic cells: Clinicopathologic, immunohistochemical and cytogenetic features of 10 cases. Am J Surg Pathol. 2005;29(12):1576–81. 10.1097/01.pas.0000184821.09871.ec
18. Kunju LP, Wojno K, Wolf S, Cheng L, Shah RB. Papillary renal cell carcinoma with oncocytic cells and nonoverlapping low grade nuclei: Expanding the morphologic spectrum with emphasis on clinicopathologic, immunohistochemical and molecular features. Hum Pathol. 2008;39(1):96–101. 10.1016/j.humpath.2007.05.016
19. Park BH, Ro JY, Park WS, Jee KJ, Gong G, Cho YM. Oncocytic papillary renal cell carcinoma with inverted nuclear pattern: Distinct subtype with an indolent clinical course. Pathol Int. 2009;59(3):137–46. 10.1111/j.1440-1827.2009.02341.x
20. Cheverie-Davis M, Riazalhosseini Y, Arsenault M, Aprikian A, Kassouf W, Tanguay S, et al. Morphologic and immunohistochemical spectrum of papillary renal cell carcinoma: Study including 132 case with pure type 1 and type 2 morphology as well as tumors with overlapping features. Am J Surg Pathol. 2014;38(7):887–94. 10.1097/PAS.0000000000000247
21. Saleeb RM, Brimo F, Farag M, Rompre-Brodeur A, Rotondo F, Beharry V, et al. Toward biological subtyping of papillary renal cell carcinoma with clinical implications through histologic, immunohistochemical and molecular analysis. Am J Surg Pathol. 2017;41(12):1618–29. 10.1097/PAS.0000000000000962
22. Al-Obaidy K, Eble JN, Cheng L, Williamson SR, Sakr WA, Gupta N, et al. Papillary renal neoplasm with reverse polarity a morphologic, immunohistochemical and molecular study. AM J Surg Pathol. 2019;43(8):1099–111. 10.1097/PAS.0000000000001288
23. Al-Obaidy KI, Eble JN, Nassiri M, Cheng L, Eldomery MK, Williamson SR, et al. Recurrent KRAS mutations in papillary renal neoplasm with reverse polarity. Mod Pathol. 2020;33(6):1157–64. 10.1038/s41379-019-0362-1
24. Lee HJ, Shin DH, Park JY, Kim SY, Hwang CS, Lee JH, et al. Unilateral synchronous papillary renal neoplasm with reverse polarity and clear cell renal cell carcinoma: A case report with KRAS and PIK3CA mutations. Diag Pathol. 2020;15:123. 10.1186/s13000-020-01042-7
25. Kim SS, Cho YM, Kim GH, Kee KH, Kim H, Kim KM, et al. Recurrent KRAS mutations identified in papillary renal neoplasm with reverse polarity–A comparative study with papillary renal cell carcinoma. Mod Pathol. 2020;33(4):690–9. 10.1038/s41379-019-0420-8
26. Tong K, Zhu W, Fu H, Cao F, Wand S, Zhou W, et al. Frequent KRAS mutations in oncocytic papillary renal neoplasm with inverted nuclei. Histopathology. 2020;76(7):1070–83. 10.1111/his.14084
27. Bayrak O, Sen H, Bulut E, Cengiz B, Karakok M, Erturhan S, et al. Evaluation of EGFR, KRAS and BRAF gene mutations in renal cell carcinoma. J Kidney Cancer VHL. 2014;1(4):40–5. 10.15586/jkcvhl.2014.10
28. Roth RM, Haraldsdottir S, Hampel H, Arnold CA, Frankel W. Discordant mismatch repair protein immunoreactivity in Lynch syndrome-associated neoplasms: A recommendation for screening synchronous/metachronous neoplasms. Am J Clin Pathol. 2016;146(1):50–6. 10.1093/ajcp/aqw067
29. Steinhagen E, Moore HG, Lee-Kong SA, Shia J, Eaton A, Markowitz AJ, et al. Patients with colorectal and renal cell carcinoma diagnosis appear to be at risk for additional malignancies. Clin Colorectal Cancer. 2013;12(1):23–7. 10.1016/j.clcc.2012.07.004
30. Karamurzin Y, Zeng Z, Stadler ZK, Zhang L, Ouansafi I, Al-Ahmadie H, et al. Unusual DNA mismatch repair-deficient tumors in Lynch syndrome: A report of new cases and review of the literature. Hum Pathol. 2012;43(10):1677–87. 10.1016/j.humpath.2011.12.012
31. Shih AR, Kradin RL. Malignant mesothelioma in Lynch syndrome: A report of two cases and review of the literature. Am J Ind Med. 2019;62(5):448–52. 10.1002/ajim.22968
32. Makiuchi S, Yoshida H, Ishikawa M, Kojima N, Kanai Y, Kato T. Primary peritoneal low grade serous carcinoma in a patient with Lynch syndrome: A case report. Int J Gynecol Pathol. 2020;39(4):327–32. 10.1097/PGP.0000000000000622
33. Gylling AHS, Nieminen TT, Abdel-Rahman WM, Nuorva K, Juhola M, Joensuu EI, et al. Differential cancer predisposition in Lynch syndrome: Insights from molecular analysis of brain and urinary tract tumors. Carcinogenesis. 2008;29(7):1351–9. 10.1093/carcin/bgn133