Download

Case Report

Mucinous Tubular and Spindle Cell Carcinoma: Case Report and Literature Review

SL Tsang1*, SS Hsu2, Cheung AN2, SHB Ho1, ATL Ng1

1Division of Urology, Department of Surgery, The University of Hong Kong, Queen Mary Hospital, Hong Kong;

2Department of Pathology, The University of Hong Kong, Queen Mary Hospital, Hong Kong

Abstract

Mucinous tubular and spindle cell carcinoma (MTSCC) is a rare type of renal cell carcinoma (RCC) recognized as an independent entity in the latest WHO (World Health Organization) classification. We here report a case of a 51-year-old female patient with MTSCC, who presented with abdominal pain and left lower pole kidney lesion on the computed tomography scan. A robotic-assisted laparoscopic partial nephrectomy was performed. The diagnosis was confirmed on histopathological examination. MTSCC is rare and generally indolent. Either partial or radical nephrectomy is usually curative. The prognosis is usually favorable. However, occasionally, MTSCC could demonstrate aggressive features requiring systemic therapy. There are also several mimickers of MTSCC, which carry different prognostic and treatment profiles. Histological, immunohistochemical, and molecular genetic profile are useful in diagnosing the disease.

Key words: renal cell carcinoma, kidney neoplasms, mucinous tubular and spindle cell carcinoma

Received: 12 June 2024; Accepted after revision: 3 February 2025; Published: 25 February 2025

Author for correspondence: Shek Long Tsang, Division of Urology, Department of Surgery, The University of Hong Kong, Queen Mary Hospital, 102 Pokfulam Road, Hong Kong. Email: [email protected]

Academic Editor: Ulka Vaishampayan, MD, Department of Medicine, University of Michigan, Michigan, United States.

How to cite: Tsang SL., et al. Mucinous Tubular and Spindle Cell Carcinoma: Case Report and Literature Review. J Kidney Cancer. 2025;12(1): 6–11.

DOI: 10.15586/jkc.v12i1.354

Copyright: Tsang SL., et al.
License: This open access article is licensed under Creative Commons Attribution 4.0 International (CC BY 4.0). http://creativecommons.org/licenses/by/4.0

Introduction

Mucinous tubular and spindle cell carcinoma (MTSCC) is a rare type of renal cell carcinoma (RCC) recognized as an independent entity in the latest 2022 WHO (World Health Organization) classification (1). MTSCC is generally indolent in behavior and excision is usually the treatment of choice. Nevertheless, there are some mimickers that demonstrate different prognostic and treatment implications. Vigilant histopathological examination is crucial to guide the management. Literatures of MTSCC are predominantly case reports and series. In this paper, we present a case of MTSCC and a comprehensive literature review.

Case Report

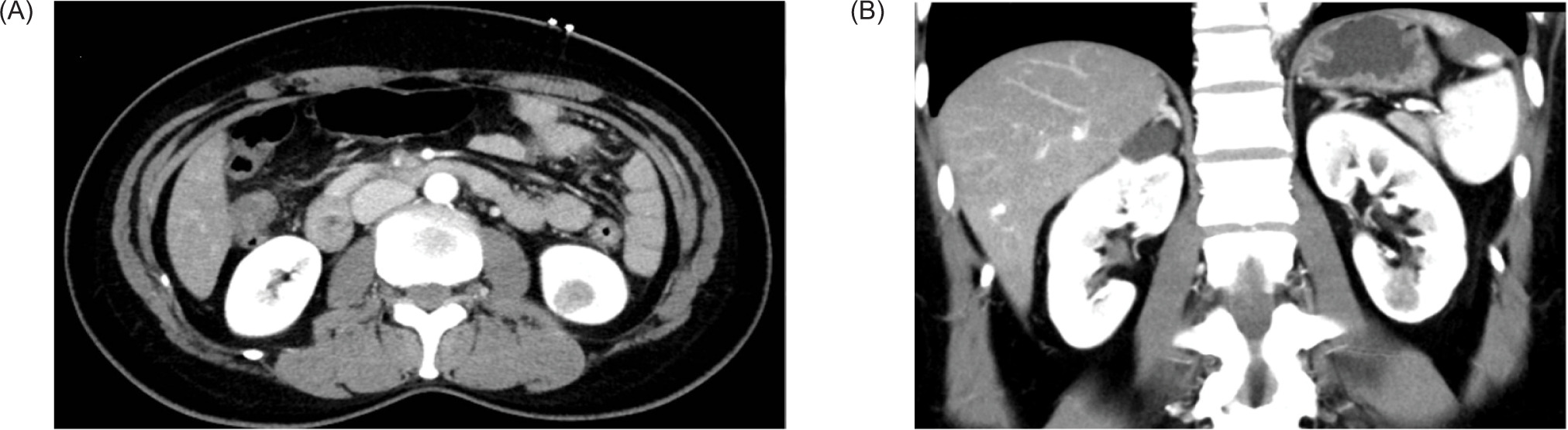
A 51-year-old lady presented to our institute with abdominal pain. Physical examination was unremarkable. Ultrasound of the abdomen showed a 1.6 cm hyperechoic mass at the lower pole of the left kidney. A computed tomography (CT) scan was thus performed, which showed a 1.7 × 1.4 × 1.7 cm hypodense contrast-enhanced lesion in the lower pole of the left kidney (Figure 1); the mass was mainly endophytic. There was no invasion to the perinephric fat and the renal vein was patent. The RENAL nephrometry score was 7. A robotic-assisted laparoscopic left partial nephrectomy was performed with the left lower pole branch selective clamping. The total warm ischemic time was 25 minutes. There was no complication.

Figure 1: Contrast-enhanced computed tomography images. (A) axial image, (B) coronal image.

The gross examination of specimen revealed a pinkish nodule measuring 2.2 × 2 × 1.5 cm and weighing 3.8 g. No necrosis was noted. Microscopically, the tumor was covered by a thin fibrous capsule partly surrounded by a thin rim of renal tissue (Figure 2A). The tumor consisted of closely packed tubules with scattered long tubular structures (Figure 2B). There was myxoid stroma and the extracellular mucin areas were highlighted by Alcian Blue staining (Figure 2C and 2D). The cuboidal tumor cells had moderate amount of pale to light eosinophilic cytoplasm with transition to spindle cells (Figure 2E and 2F). Mitotic activity was inconspicuous, and necrosis was not found. Immunohistochemically, it showed positivity for EMA (epithelial membrane antigen) (Figure 2G), AMACR (alpha-methylacyl-CoA racemase) (Figure 2H), CK7 (cytokeratin 7) (Figure 2I), PAX8 (Figure 2J), and CD56 (Figure 2K). MIB-1 proliferation index showed a rate of less than 1% (Figure 2L). The diagnosis of MTSCC was confirmed. The TNM (tumor, node, metastasis) stage was pT1a; no adjuvant treatment was given; and a surveillance scan was arranged.

Figure 2: Histopathology and immunochemistry images. (A) The nodular tumor is partly covered by a thin fibrous capsule and partly by renal tissue. (B) Elongated tubular structures and cord-like growth. (C) The stroma is myxoid with areas of extracellular mucin. (D) The mucin is highlighted by Alcian Blue staining. (E and F) Spindle cells are seen adjacent to cuboidal tumor cells. (G to K) The tumor cells are positive for EMA (G), AMACR (H), CK7 (I), PAX8 (J), and CD56 (K). (L) MIB1 is generally less than 1%.

Discussion

MTSCC is a rare type of RCC, first recognized as a distinct entity in the 2004 WHO guideline. It was previously classified under different subtypes of RCC, including low-grade collecting duct carcinoma, RCC with unusual differentiation, low-grade tubular mucinous renal neoplasm, and so on and so forth. It primarily impacts females (34:1) and has a broad age range of presentation, extending from 13 to 82 years (mean age 53 years) (2, 3). Fewer than 50 cases were reported in the Chinese population, and never reported in Hong Kong. Most MTSCC are found as incidental findings. Some present with symptoms such as flank pain, abdominal mass, and hematuria. Radiologically, it shows iso- or slight hypoattenuation on CT. On magnetic resonance imaging, it usually demonstrates mild hypointensity with focal hyperintensity on the T2 phase, diffusion restriction on DWI (diffusion-weighted imaging), and multiple patchy enhancement in the corticomedullary phase (4).

Macroscopic examination commonly shows a well-defined tumor located in the renal cortex, where the surface is usually shiny and mucoid with homogenous color and firm in consistency (2). Microscopically, MTSCC is usually characterized by a combination of tubular and spindle cells separated by various amounts of mucinous stroma. Tubules are usually arranged parallelly and packed. Transitions between tubular and spindle cells are often seen. Variations in pattern such as mucin-poor, spindle cell-dominant, and high nuclear grade presentations were reported (5). Necrosis and mitoses are rare. A tumor with aggressive behavior usually exhibits atypical histological features such as high-grade transformation and sarcomatoid transformation (2). High-grade transformation of MTSCC demonstrates features like necrosis, high-grade nuclei, increased mitosis, vascular invasion, and solid or infiltrative growth (6). Sarcomatoid transformation typically shows an expansile growth of high-grade spindle cells (7). Immunohistochemically, MTSCC consistently show positivity for EMA (95%), AMACR (93%), and CK7 (81%) (8). Variable expressions are shown in HMWK (high molecular weight kininogen) (15%), CD10 (15%), RCC Ma (7%), and c-kit (5%).

The immunohistochemical profile (above) shows similarity to that of papillary RCC (PRCC) (1). Therefore, PRCC with sarcomatoid differentiation, which has poorer outcomes, is sometimes regarded as a mimicker of MTSCC. Yet, MTSCC has a distinct molecular genetic profile. FISH (fluorescence in situ hybridization)-based studies showed that MTSCC commonly exhibit multiple chromosomal losses involving chromosomes 1, 4, 6, 8, 9, 13, 14, 15, and 22. Clinically aggressive MTSCC may also show CDKN2A/2B (9p) deletion and additional complex genomic alternations (6, 9). Other differential diagnoses include sarcomatoid RCC, mesenchymal neoplasms such as smooth muscle tumors (SMTs), and inflammatory myofibroblastic tumor (IMT) (10). Sarcomatoid RCC usually demonstrates pleomorphic and hyperchromatic nuclei and increased mitotic activity and necrosis (11). SMT and IMT usually exhibit more elongated nuclei and clear fascicular arrangement, and strongly positive for SMA (alpha smooth muscle actin) (Table 1) (12).

Table 1: Comparison of MTSCC with other relevant differential diagnoses.

Mucinous Tubular and Spindle Cell Carcinoma (MTSCC) Papillary Renal Cell Carcinoma (PRCC) Sarcomatoid Renal Cell Carcinoma (SRCC) Smooth Muscle Tumor (SMT) Inflammatory Myofibroblastic Tumor (IMT)
Histopathology Tightly packed tubules lined by low-grade cuboidal cells merging with bland spindle cells in myxoid stroma containing mucin Papillary or tubular architecture lined by cuboidal cells with scant or lightly basophilic cytoplasm Spindle cells with sarcomatoid features, often with rhabdoid or pleomorphic cells Spindle cells with smooth muscle differentiation
Malignant SMT demonstrates nuclear atypia, hyperchromasia, pleomorphism, and high mitotic rate
Spindled myofibroblasts, fibroblasts, and inflammatory cells
Immunohistochemistry Positive for PAX8, CK7, and AMACR Positive for CK7, AMACR, vimentin, and CD10 Often positive for vimentin and cytokeratins Positive for SMA, desmin, and caldesmon Positive for SMA, desmin, vimentin, and ALK (~50%)
Diagnostic molecular feature Multiple chromosomal loss
VSTM2A RNA expression
Limited use
Trisomy and tetrasomy of chromosomes 7 and 17 and loss of Y chromosomes
MET gene mutations often associated with low-grade PRCC
Often associated with TP53 mutations and chromosomal instability No specific genetic features ALK rearrangements may be found
Prognosis Generally favorable, with low metastatic potential Intermediate prognosis, with metastatic potential Poor prognosis, with high metastatic potential Benign, with rare cases of malignant transformation Benign, with rare cases of malignant transformation

MTSCC is usually considered a low-grade malignancy exhibiting an indolent course. Tumors are commonly of low stage (T1, T2) and are amenable to partial or radical nephrectomy. Few case reports and series showed recurrence, regional lymph node, and distant metastasis, usually associated with high-grade features (3). Yet, rare cases illustrated that MTSCC with classical morphology were also capable of metastatic behavior (13). The mainstay treatment for MTSCC remains surgical excision, either partial or radical nephrectomy. Although recurrence is unlikely, a close follow-up with surveillance scan is recommended. For metastatic MTSCC, there are currently no established guidelines or trials regarding systemic treatment. There are case reports showing long-lived response with the of use of sunitinib as first-line treatment (3). There are also case reports documenting the use of nivolumab or the combination of nivolumab plus ipilimumab (14).

The functional and oncological outcomes of MTSCC after partial nephrectomy is generally favorable—with preserved renal function and low recurrence rate. Although recurrence after partial nephrectomy is infrequent, early diagnosis is crucial as surgery is the most effective treatment. Besides, should there be recurrences, it usually occurs late (median 5–6 years) (15). Therefore, surveillance with imaging is recommended. The current European Association of Urology (EAU) guidelines advocate for a risk-stratified surveillance approach (16). For example, for the patient in this case report (with pT1a low-grade non-clear cell RCC), CT should be performed at 6, 18, and 30 months, followed by imaging every two years thereafter. Imaging for oncological surveillance may be discontinued after three years, taking into account the patient’s comorbidities, age, life expectancy, and preference.

Conclusion

MTSCC is a type of rare and generally indolent renal tumor. Patients are often asymptomatic and tumors are found incidentally. The prognosis is usually favorable. Either partial or radical nephrectomy is usually curative. However, occasionally, MTSCC could demonstrate aggressive features. And there is a small chance of metastasis, requiring systemic therapy. There are also several mimickers of MTSCC, which carry different prognostic and treatment profiles. Clinicians and pathologists have to be vigilant when diagnosing MTSCC.

Acknowledgments

We would like to thank Dr. Gavin Shueng-Wai Chan for his expert opinion on pathology diagnosis of this rare tumor.

Ethics Approval

The patient was treated in accordance with the Declaration of Helsinki and provided informed written consent to publication of this report.

Authors Contribution

Concept or design: ATL Ng, SL Tsang; Acquisition of data: SL Tsang, SS Hsu; Analysis or interpretation of data: SL Tsang, SS Hsu; Drafting of the manuscript: SL Tsang, SS Hsu; Critical revision of the manuscript for important intellectual content: ATL Ng, Cheung AN, SHB Ho.

Conflicts of Interest

The authors declare no potential conflicts of interest with respect to research, authorship, and/or publication of this article.

Funding

This study received no specific grant from any funding agency in the public, commercial, or not-for-profit sectors.

REFERENCES

1. WHO classification of tumours: Urinary and male genital tumours [Internet]. International Agency for Research on Cancer. 2022.

2. Srigley JR, Delahunt B, Eble JN, Egevad L, Epstein JI, Grignon D, et al. The International Society of Urological Pathology (ISUP) Vancouver classification of renal neoplasia. Am J Surg Pathol. 2013;37(10):1469–89. 10.1097/PAS.0b013e318299f2d1

3. Ged Y, Chen YB, Knezevic A, Donoghue MTA, Carlo MI, Lee CH, et al. Mucinous tubular and spindle-cell carcinoma of the kidney: Clinical features, genomic profiles, and treatment outcomes. Clin Genitourin Cancer. 2019;17(4):268–74.e1. 10.1016/j.clgc.2019.04.006

4. Kang H, Xu W, Chang S, Yuan J, Bai X, Zhang J, et al. Mucinous tubular and spindle cell carcinomas of the kidney (MTSCC-Ks): CT and MR imaging characteristics. Jpn J Radiol. 2022;40(11):1175–85. 10.1007/s11604-022-01294-x

5. Fine SW, Argani P, DeMarzo AM, Delahunt B, Sebo TJ, Reuter VE, et al. Expanding the histologic spectrum of mucinous tubular and spindle cell carcinoma of the kidney. Am J Surg Pathol. 2006;30(12):1554–60. 10.1097/01.pas.0000213271.15221.e3

6. Yang C, Cimera RS, Aryeequaye R, Jayakumaran G, Sarungbam J, Al-Ahmadie HA, et al. Adverse histology, homozygous loss of CDKN2A/B, and complex genomic alterations in locally advanced/metastatic renal mucinous tubular and spindle cell carcinoma. Mod Pathol. 2021;34(2):445–56. 10.1038/s41379-020-00667-9

7. Dhillon J, Amin MB, Selbs E, Turi GK, Paner GP, Reuter VE. Mucinous tubular and spindle cell carcinoma of the kidney with sarcomatoid change. Am J Surg Pathol. 2009;33(1):44–9. 10.1097/PAS.0b013e3181829ed5

8. Paner GP, Srigley JR, Radhakrishnan A, Cohen C, Skinnider BF, Tickoo SK, et al. Immunohistochemical analysis of mucinous tubular and spindle cell carcinoma and papillary renal cell carcinoma of the kidney: Significant immunophenotypic overlap warrants diagnostic caution. Am J Surg Pathol. 2006;30(1):13–9. 10.1097/01.pas.0000180443.94645.50

9. Trpkov K, Hes O, Williamson SR, Adeniran AJ, Agaimy A, Alaghehbandan R, et al. New developments in existing WHO entities and evolving molecular concepts: The Genitourinary Pathology Society (GUPS) update on renal neoplasia. Mod Pathol. 2021;34(7):1392–424. 10.1038/s41379-021-00779-w

10. Fletcher CDM, Bridge JA, Hogendoorn PCW, Mertens F, World Health O, International Agency for Research on C. WHO classification of tumours of soft tissue and bone. 4th edition. ed. Lyon: IARC Press; 2013; 468 pages illustrations (chiefly color).

11. Wei S, Al-Saleem T. The pathology and molecular genetics of sarcomatoid renal cell carcinoma: A mini-review. J Kidney Cancer VHL. 2017;4(2):19–23. 10.15586/jkcvhl.2017.70

12. Zhao M, He XL, Teng XD. Mucinous tubular and spindle cell renal cell carcinoma: A review of clinicopathologic aspects. Diagn Pathol. 2015;10:168. 10.1186/s13000-015-0402-1

13. Thway K, du Parcq J, Larkin JM, Fisher C, Livni N. Metastatic renal mucinous tubular and spindle cell carcinoma. Atypical behavior of a rare, morphologically bland tumor. Ann Diagn Pathol. 2012;16(5):407–10. 10.1016/j.anndiagpath.2011.04.001

14. Furubayashi N, Taguchi K, Negishi T, Miura A, Sato Y, Miyoshi M, et al. Cytoreductive nephrectomy after combination of nivolumab plus ipilimumab for mucinous tubular and spindle cell carcinoma of the kidney with bone metastases: A case report. In Vivo. 2022;36(1):510–21. 10.21873/invivo.12732

15. Bani-Hani AH, Leibovich BC, Lohse CM, Cheville JC, Zincke H, Blute ML. Associations with contralateral recurrence following nephrectomy for renal cell carcinoma using a cohort of 2,352 patients. J Urol. 2005;173(2):391–4. 10.1097/01.ju.0000148951.71353.8b

16. EAU Guidelines on Renal Cell Carcinoma. EAU Annual Congress Paris 2024; Arnhem, The Netherlands: EAU Guidelines Office; 2024.